
之前第二小臼齒因為蛀牙做了根管治療,治療過程中,醫師就有建議治療後可以做假牙,日後才不會有牙根斷裂的問題,但是假牙費用是自費沒有健保給付。當時因為對根管治療不了解,醫師的建議也沒放在心上,想說之後吃東西注意一點就好,不需要再另外花錢做假牙。根管治療剛結束時,還會提醒自己;沒多久後,就把這件事情忘得一乾二淨。
等到有天吃芭樂時,聽到「喀」一聲,就覺得不妙,跟老婆講的時候還被臭罵一頓…最後老婆帶我去給郭德樑醫師檢查牙齒,果不其然,根管治療的那顆牙齒被我咬斷了!因為牙根已經斷裂,郭醫師建議我拔除牙齒。

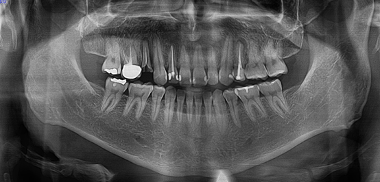
↑這是根管治療完成時的X光

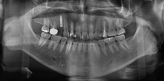
↑這是牙根斷裂的X光
當初因為不重視醫師的建議,導致牙齒需要拔除;所以這次很認真的聽取郭醫師的意見,有問題時郭醫師也會耐心回答。牙齒拔除後,可以選擇做假牙或是植牙,在眾多考量下,最後我選擇植牙。在等待看診時,老婆有跟我說郭醫師是專業的植牙醫師,具有10幾年的植牙經驗,加上岳父、岳母平時都是給郭德樑醫師看牙的,讓我對郭醫師的技術更加放心!

↑拔牙兩個月後待傷口平整,進行第二次的植牙評估,測量齒槽骨的寬度與深度是否適合植牙。郭醫師說這個階段很重要,若是齒槽骨的條件不理想,容易影響植牙成效;安全的植牙範圍在於齒槽骨需要有足夠的寬度和深度,骨頭密度也要達到一定的標準!

↑拔除後第三個月,植入人工植體了!


↑因為我的上顎骨較鬆軟,大概等了5-6個月,人工牙根與骨頭才能直接接觸,也就是一般的骨整合;當骨整合完成後,植體才能承受咀嚼力量。


↑植牙療程結束!!
雖然療程時間有點久,但是可以感受的到郭醫師的用心!植牙過程中,郭醫師很仔細地幫我評估狀況,不會草率地看診,為了能有最好的植牙成效,每個階段都很謹慎、小心。不論是醫德還是醫術,郭醫師都是無可挑剔的好醫師!謝謝郭醫師細心的看診和護士們用心的照顧,澈底解決我的牙齒問題!如果你也有植牙需求,郭德樑醫師會是你最好的選擇!

0 意見:
張貼留言